您所在的位置: 首页 > 常见问题 > 牙齿治疗

牙齿治疗

“牙齿不齐”是面子问题,更是健康问题!
发布时间:2017-06-26 来源:管理员 浏览:3122次
你以为牙齿不齐只是看起来不那么好看?
图样图森破!牙丑影响颜值,
还让人不敢露出牙齿
张嘴说话、开口笑都有所顾虑
 
语言、表情是表达感情的重要途径
牙齿不好看,不想与人交流
慢慢变得内向、心理健康受影响
不知错过多少男神、
失去多少次被表白的机会...
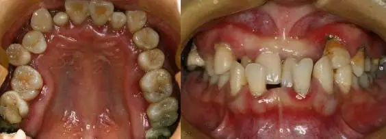
牙齿不齐的影响不止上面说的『面子』、『心理』,还有『健康』等问题。
       牙齿不齐的主要影响:
       1、影响口腔健康
       牙列拥挤不齐使牙齿不能自洁,菌斑结石堆积,引起龋病及牙龈牙周的炎症;同时牙齿的错位、咬合异常也可造成牙周损害;牙列稀疏则容易发生食物嵌塞而伤害牙龈牙周的健康。
 
       2、影响容貌外观。
       各类错颌畸形,都不同程度地影响容貌外观,这也是很多患者要求矫治的直接原因。如开唇露齿、双颌前突、长面或短面畸形等。
 
       3、影响颌面发育。
       在儿童的生长发育过程中,许多不良习惯所致的牙颌畸形将影响牙颌面软硬组织的正常发育。如前牙反颌,俗称『地包天』,就是指下前牙位于上前牙唇侧的畸形,会使上颌骨的发育受到限制,而下颌骨由于没有正常协调关系的制约而过度向前发育,从而形成面中部凹陷和下颌骨过度前突畸形。
 
       4、影响口腔功能。
       严重的错颌畸形可影响口腔的正常功能,如前牙开颌(即上下前牙无法咬合)造成发音异常,后牙锁颌影响咀嚼功能,严重的下颌前突造成吞咽异常,下颌严重后缩则影响呼吸功能。
 
       5、影响心理健康
       牙齿不齐严重影响孩子的成长发育及心理障碍。资料表明,在错牙合畸形的青少年当中,发生心理障碍的比例较高,普遍导致孩子不爱说话,没有自信。
 
        现在,牙齿矫正不止有略丑的『钢牙套』,还有近乎隐形的『隐形牙套』等选择,再也不用担心牙套丑了。